subota, 6. dec 2025.
  • NAJNOVIJE
  • HOROSKOP
  • HYPE ŽENA
Pretraga
Hype TV
Ad imageAd image
  • Naslovna
  • VESTI
    • DRUŠTVO
    • POLITIKA
    • KULTURA
  • HYPE ZVEZDE
  • SHOWBIZ
  • JET SET
  • Rijaliti
  • SPORT
  • HRONIKA
Reading: „E SAD SMO SVE VIDELI“: Stomatolog od pacijenta BEZ ZUBA SA „ZGUŽVANIM“ LICEM napravio MANEKENA! (ŠOK FOTKE)
Font ResizerAa
Hype TVHype TV
  • NASLOVNA
  • VESTI
  • HYPE ZVEZDE
  • SHOWBIZ
  • JET SET
  • RIJALITI
  • SPORT
  • HRONIKA
  • TV PROGRAM
  • NASLOVNA
  • VESTI
    • DRUŠTVO
    • POLITIKA
    • KULTURA
  • HYPE ZVEZDE
  • SHOWBIZ
  • JET SET
  • RIJALITI
  • SPORT
  • HRONIKA
  • TV PROGRAM
Pratite nas
© 2025 Hype TV
Home » „E SAD SMO SVE VIDELI“: Stomatolog od pacijenta BEZ ZUBA SA „ZGUŽVANIM“ LICEM napravio MANEKENA! (ŠOK FOTKE)
FASHIONLIFESTYLENEWSNOVORAZNOVESTIZanimljivostiZdravlje

„E SAD SMO SVE VIDELI“: Stomatolog od pacijenta BEZ ZUBA SA „ZGUŽVANIM“ LICEM napravio MANEKENA! (ŠOK FOTKE)

16.02.2025 | 19:20
FASHION LIFESTYLE NEWS NOVO RAZNO VESTI Zanimljivosti Zdravlje
Vreme čitanja 3 min.
Podeli

„E SAD SMO SVE VIDELI“

Foto: Printscreen/ Instagram/ smileskingdom

Navikli smo do sada da nas estetski hirurzi, pogotvo oni u Turskoj, neprestano na društvenim mrežama šokiraju neverovatnim transformacijama svojih pacijenata.

S obzirom na to da im je to najbolja reklama, medicinari koji se bave domenom estetike konstatno prikazuju rezultate svog rada na fotografijama pre i posle izvršenih korekcija. Mnogi se zbog toga često zapitaju da li je u pitanju realnost ili fotošop. Jer su prizori nestvarni!

Slično su sada počeli da rade i stomatolozi, a promena ličnog opisa jednog pacijenta toliko je zadivljujuća, da su mnogi u trenutku shvatili koliki je, zapravo, značaj zdravih i lepih zuba za naš izgled.

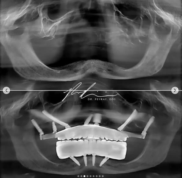
U galeriji pogledajte kakvu je šok transformaciju napravio dr Perman Rejsi:

„E SAD SMO SVE VIDELI“

Foto: Printscreen/ Instagram/ smileskingdom
Photo: Printscreen/ Instagram/ smileskingdom
Foto: Printscreen/ Instagram/ smileskingdom
Photo: Printscreen/ Instagram/ smileskingdom
Foto: Printscreen/ Instagram/ smileskingdom
Photo: Printscreen/ Instagram/ smileskingdom
Foto: Printscreen/ Instagram/ smileskingdom
Photo: Printscreen/ Instagram/ smileskingdom

Komentari ispod fotki ne prestaju da se nižu, a ovo su samo neki od njih:

„E sad smo sve videli„, „Vau kakva transformacija“, „Bravo doktore“…

Stomatolog dr Perman Rejsi iz Sjedinjenih Američkih Država na svom Instagramu podelio je transformaciju jednog pacijenta, a fotografije pre i posle intervencije prikazuju nam jednog mladića.

„Neverovatna promena“

Bez zuba, sa gotovo „zgužvanim“ donjim delom lica i neverovatnu promenu nakon što su mu ugrađeni implanti. Lice mu je doslovno vraćeno u prirodno i prvobitno stanje i konačno je mogao da se osmehne. Sebi, životu i mnogo lepšoj budućnosti koja ga očekuje.

 

View this post on Instagram

 

A post shared by Dental Smiles (@smileskingdom)

Dr Pej Rej, kako je poznat na mrežama, pokazao je putem fotografija i video snimaka kako funkcioniše čitava procedura, pa pomenuo koliko je implantologija značajna grana stomatologije. Pogotovo kada su u pitanju ljudi koji su izgubili sve zube. A samim tim i nadu i volju za životom, koje im on, svojim ukmećem i znanjem, vraća.

Dr Rejsi jedan od najcenjenijih stomatologa u Americi

 

View this post on Instagram

 

A post shared by Dental Photography | Shop, Courses & App (@dentiphoto)

Inače, dr Pejman Rejsi je ugledni stomatolog specijalizovan za oralnu implantologiju i rekonstrukcije celih zubnih lukova i usne duplje. Doktorat je stekao na Stomatološkom fakultetu Univerziteta u Tenesiju i nosilac je prestižne titule Diplomate Američkog odbora za oralnu implantologiju (DABOI).

Dr Rejsi je, takođe, međunarodni predavač, poznati influenser, konsultant i mentor. Kako novim tako i iskusnim stomatolozima.

PROČITAJTE I:

„ZA MENE JE TAJ RAZVOD NIŠTA!“ Čeda Jovanović ŠOKIRAO nakon kraha ljubavi posle skoro 30 godina zajedničkog života: „Naša ljubav boli“

Skandalozni snimak kruži mrežama! MC STOJAN SE ZALEPIO ZA SANDRU AFRIKU I NE PUŠTA JE: Ne odustaje dok ne dobije POLJUBAC U USTA!? (FOTO/VIDEO)

Hype tv.rs/Blic žena/M.K.

Foto Hype
 TV

“HYPE ZVEZDE” PRIJAVE ZA AUDICIJU:

Prijavljivanje kreće od 15.2. I kandidati se prijavljuju za audicije u Beogradu, Nišu, Šapcu, Sarajevu, Banja Luci, Zagrebu, Skoplju, Podgorici. Audicije se održavaju u pomenutim gradovima od 15.4. do 1.6.

PRIJAVITE SE KLIKOM OVDE ZA “HYPE ZVEZDE”

ČITAJTE NAS I NA HYPETV KANALIMA WHATSAPP, VIBER I TELEGRAM.

SVE SAD! VAŠ HYPE TV!

OZNAKE:doktordr pej rejdr perman rejsiestetska hirurgijaSADsjedinjene amerićke državestomatologtransformacijaTurska
Podeli
Facebook Whatsapp Whatsapp Threads Email Copy Link Print
Prethodna objava Maja Nikolić priznala da je MASNO SLAGALA: „Nemam dečka sponzora iz Amerike, stan plaćam na KREDIT“
Sledeća objava MILICA VELIČKOVIĆ JEDNOM FOTKOM PRIZNALA KAKO SE OSEĆA: „Mogu ja tugu nositi…i opsovati“ (FOTO)
Nema komentara

Ostavite odgovor Odustani od odgovora

Vaša adresa e-pošte neće biti objavljena. Neophodna polja su označena *

Pratite nas

FacebookLike
InstagramFollow
YoutubeSubscribe
TiktokFollow

Najnovije

Dnevni horoskop za 25. novembar: Devica rešava dug, Vodolija otkriva tajnu, Lavu stiže ponuda za posao

EVO KOLIKO JE MIRZA SELIMOVIĆ NAPUNIO GODINA! Svi su mislili da je pevač mlađi – OVAJ PODATAK ĆE VAS ŠOKIRATI!

Đedović Handanović sa naftašima: Prioritet da se obezbedi snabdevanje domaćeg tržišta derivatima!

MIA BORISAVLJEVIĆ INTIMU PREKRILA SAMO ŠAKAMA! Komentari samo pljušte! (FOTO)

HYPETV na mestu stravičnog požara!

IZBIO POŽAR U VRTIĆU NA ZVEZDARI! Svi su hitno evakuisani, ovo su DETALJI!

MIRKA VASILJEVIĆ U HOT IZDANJU! Glumica novom objavom ZAPUŠILA USTA SVIMA! EVO ŠTA RADI! (FOTO)

Ne propustite

Gej ošamario saigrača Evertona

SKANDAL BEZ PRESEDANA: Evertonov vezista isključen jer je ošamario saigrača (VIDEO)

SPORT VESTI

(ANKETA) TEODORA ILI ĐINA?! Piše se da su pokazale više nego što sme, a koja je atraktivnija?! (FOTO)

SHOWBIZ VESTI

„LJUTILA SAM SE NA NJU! BILO MI JE ČUDNO..“ Jelena Karleuša progovorila o POTRESNIM DETALJIMA poslednjeg susreta sa Ljiljom Jorgovanović!

SHOWBIZ VESTI

JAKOV JOZINOVIĆ POSLUŠAO MUDAR SAVET SAŠE MIRKOVIĆA! Hrvatski pevač zakazao koncert u Areni Zagreb za jun 2026. godina?!

SHOWBIZ VESTI
Prikaži više
2787641c-092d-4dcf-8bd1-654231d30950

ČITAJTE NAS I NA HYPE TV KANALIMA WHATSAPP, VIBER I TELEGRAM

Čitajte Hypetv.rs portal, najbrži portal u Srbiji i regionu sa najvećim rastućim rezultatima i ekskluzivnim vestima. Zapratite nas i na društvenim mrežama Instagram, Facebook, Threads, TikTok!
  • Impresum
  • Politika privatnosti
  • Uslovi korišćenja
  • Kontakt
Pratite nas
2025 © Hype TV
Welcome Back!

Sign in to your account

Username or Email Address
Password

Lost your password?